患儿,4个月大,男婴。因进行性头围增大,同时发现有脑积水而住院治疗。入院时未发现明确的病因,因此给予脑室-腹腔分流术治疗。在此后常规随访期间,患儿头围仍继续增大。13个月龄时,复查头部MRI显示颅腔内一个鞍上蛛网膜囊肿。患儿神经系统检查正常。医生再次进行内镜手术,以对囊肿及持续的脑积水进行治疗。在进行治疗的过程中,可以清楚地看到willis环,垂体柄,动眼神经和中脑等解剖结构。术后患儿恢复良好, 2天后出院回家。而在稍后的随访过程中,患儿亦未有任何其他并发症出现。

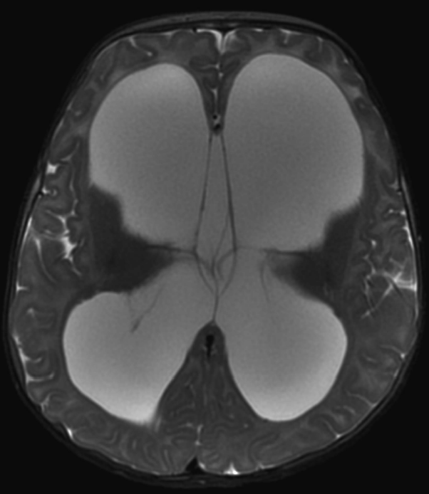
图1:MRI显示脑积水,脑室严重扩张

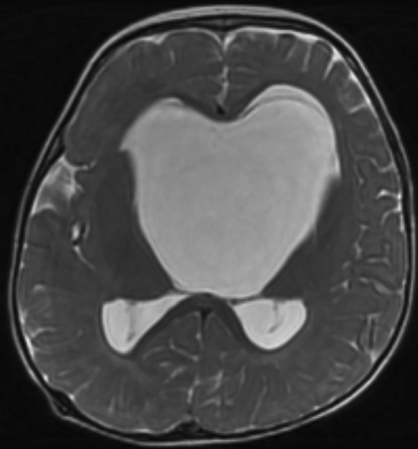
图2:脑室内蛛网膜囊肿引起阻塞性脑积水

图3:内镜下的willis环
问题 1 : Willis环可包括哪些结构
A. 前交通动脉
B. 两侧大脑前动脉始段
C. 两侧颈内动脉末段
D. 两侧后交通动脉
Willis 环与脑梗死的相关性 早在 1960 年就已发现,ICA 严重狭窄或闭塞时,颅内灌注的主要决定因素是具有完整侧支循环功能的 Willis 环,而且脑梗死患者 Willis 环发育不良发生率显著高于正常人群。随后的研究证实,具有完整侧支循环功能的 Willis 环可使脑灌注压保持在临界值,从而防止脑梗死形成。单侧 ICA 闭塞时,Willis 环不完整会使脑梗死风险增高 1/6;如合并对侧 ICA 闭塞,则脑梗死风险增高 3 倍以上。此外,完整的 Willis 环也可防止脑栓塞。 Willis 环与脑白质疏松(leukoaraiosis,LA) 既往研究显示,LA 与 Willis 环的完整与否无关,但最近的一项研究得出了相反的结果。Chuang 等报道,在 106 例颈动脉狭窄患者中,Willis 环不完整的发生率为 77.4%。采用 Fazekas 等的评分系统评估 LA 严重程度,根据组成血管的缺失数量将 Willis 环不完整性分为:(1)缺失 1 个部分;(2)缺失 2 个部分;(3)缺失 3 个部分或更多。结果显示,LA 严重程度与缺失数量的关系密切相关,缺失数量越多,LA 越严重。当合并 ACoA 发育不良时,脑白质损害程度显著加重。由此显示,Willis 环不完整与 LA 关系密切。不过,此结果在不合并颈动脉狭窄的患者中是否适用尚需进一步研究。
阅读原文相关课程:
扫描二维码,关注微信公众号
扫描二维码,下载APP到手机