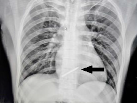
患者,25岁,男性。在进行装修作业时意外将钢钉射入体内被紧急送往急诊科治疗。临床检查,患者意识清醒,血压80/50mmHg,心率120 次/分,胸部左侧锁骨中线第二肋间有一个约2cm大小的开放性创伤。胸部X线显示一颗钉子与心影重叠。经胸超声心动图显示约1cm心包积液。胸部CT显示钉子处于胸骨后且钉子头部指向右心室,患者被紧急送往手术室。术中发现钉子头部已经穿透心包表面,未伤及心脏,医生顺利将其取出,术后患者病情平稳,7天后顺利出院。
 
图1:胸片显示体内的钉子

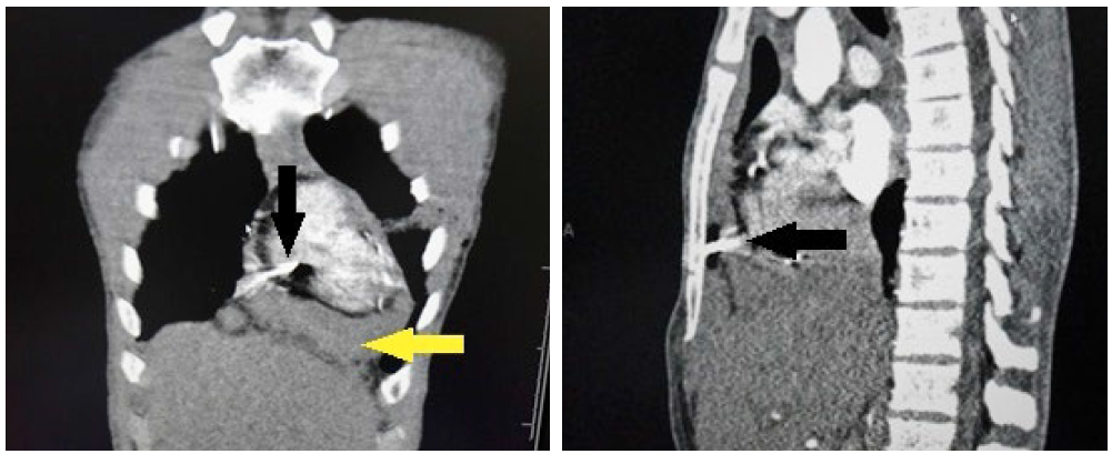
图2:CT显示钉子已经穿透心包,黄色箭头为心包积液。

图3:胸骨后的钉子尖端穿透心包。前纵膈可见血肿。

图4:术中可见心脏没有被钉子穿透受损的痕迹
问题 1 : 穿透性心脏损伤可有哪些临床表现?
A. 颈静脉怒张,心音遥远
B. 好发的部位依次为右心室、左心室、右心房和左心房
C. 贝克三联征
D. 失血性休克
穿透性心脏损伤的治疗: 已有心脏压塞或失血性休克者,应立即在急诊室施行开胸手术。在气管插管全身麻醉下,切开心包缓解压塞,控制出血,迅速补充血容量。大量失血者需回收胸腔内积血,经大口径输液通道回输。情况稳定后,采用无损伤带针缝线加垫修补心脏裂口。 穿透性心脏损伤经抢救存活者,应注意心脏内有无遗留的异物及其他病变,如创伤性室间隔缺损、瓣膜损伤、创伤性室壁瘤、心律失常、假性动脉瘤或反复发作的心包炎等。因此,应重视对出院后的病人进行随访,尽量发现和诊断心脏内的残余病变,以便及时做出相应的处理。
阅读原文相关课程:
扫描二维码,关注微信公众号
 
        扫描二维码,下载APP到手机
