患者基本情况:女性,43岁。
主诉:活动性胸痛1月余,胸痛加重、持续不缓解10小时。
现病史:患者1月余来出现活动性胸痛,步行30米即出现症状,停下休息数分钟,胸痛可自行缓解。曾经在当地医院就诊,被诊为“骨膜炎”,与药物对症治疗,症状仍有发作。此次无明显诱因突发胸痛,持续不缓解,余当地医院 急诊心电图检
“II,III,AVF,V7-9导联ST段抬高”,诊断“急性下、后壁心肌梗死”转入我院急诊室。此时胸痛持续10小时未缓解。检查心电图(图1),下、后壁导联ST段仍抬高。完善急诊介入治疗的准备工作,顿服肠溶阿司匹林300mg,氯吡咯雷300mg,拟行急诊冠状动脉造影及介入治疗。

图1 心电图检查
既往病史:高血压病史8年,未规律药物治疗;2型糖尿病史8年,口服降糖药治疗,平时空腹血糖控制在7mmol/l左右;高脂血症2年,未服药物治疗。“慢性胃炎”病史。患者月经规律,否认口服避孕药物史。否认出血或出血性疾病史。
急诊查体:身高156cm,体重62kg,神清,急性病面容,自主体位,血压98/66mmHg,心率62次/分,律齐,各瓣膜区未闻及杂音,双肺呼吸音清,未闻及干湿啰音,腹部、四肢及其他各系统查体未见明显异常。
实验室检查:急诊心电图检查(图1),I,III,AVF,V7-9导联ST段抬高0.1-0.3mv;心梗三项均阳性:CK-MB4.68mg/ml,肌红蛋白>500ng/ml,TNI0.31ng/ml;心脏型脂肪酸结合蛋白阳性;血白细胞9.2*109/l,中性比例74%,血红蛋白127g/l,血小板194*1012/l。急诊床旁超声心动图:左房内径30mm,左心室内径48mm,LVEF 55%,左心室壁下壁、后壁节段性运动降低。床旁胸片:双肺纹理大致正常,肺内未见实变。
临床诊断:冠状动脉粥样硬化性心脏病
急性下壁、后壁心肌梗死
心功能I级(Killip分级)
2型糖尿病
高血压病
高脂血症
慢性胃炎
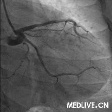
术前血管造影(附图):
冠造结果(图2-4):回旋支中段100%闭塞;右冠中段100%,并见大量血栓影;前降支中段不规则狭窄50%。结合临床,考虑右冠为急性心肌梗死相关冠脉,应首先对其进行急诊介入治疗。
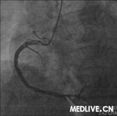
手术过程(附图):
经右股动脉途径,6F,JR4.0引导管,HT BMW Universal引导丝顺利通过右冠闭塞病变部位,Diver血栓抽吸导管于病变部位及其近、远段部位连续抽吸,反复5次,造影可见右冠血流恢复,余狭窄最重部位直接植入Excel支架3.5*14mm,12atm释放,16atm原位后扩张,最重效果满意,右冠TIMI血流3级(图5-7)。
患者介入治疗过程中血压偏低,最低78/50mmHg,予静脉多巴胺持续泵入,依血压调整剂量;因冠脉内血栓负荷重,分别于冠脉内给予替洛非班(欣维宁),及静脉持续泵入;未预防缓慢心律失常,给予临时起搏器保驾。整个介入治疗过程顺利,未发生严重心律失常或无再流,予以适当补液,患者血压始终偏低,多巴胺最大20µg/kg/min。考虑患者冠脉双支病变,虽然右冠急诊介入治疗成功,仍给予了IABP辅助治疗。
患者在CCU病房继续接受药物治疗,病情趋于平稳,20小时后多巴胺逐渐减量至停用,欣维宁停用,IABP停用。继续恢复性治疗,并加强降血脂、控制血糖、监控血压等治疗措施,9天后进行了回旋支的介入治疗。
经右桡动脉穿刺,6F EBU3.5引导管,Pilot50引导丝成功通过闭塞病变部位,以sprinter1.5*15mm,2.5*20mm球囊于病变部位充分扩张,之后植入Excel2.5*24mm支架1枚,16atm释放,最终效果满意(图8-11)。此次还对右冠进行的造影复查,结果显示急诊介入治疗支架通畅(图12)。
术后结果结论:(附图)
急诊右冠介入治疗成功(图12);择期回旋支的介入治疗成功(图11)。
 |
 |
| 图11 |
图12 |
点评:
1) 多支冠脉病变往往同时存在不同性质、不同解剖部位的病变,应当根据患者病情及病变选择不同治疗策略。
2) 该病例中右冠病变为急性心肌梗死相关病变,为急性血栓性病变,介入治疗时应尽量采用抽吸导管吸出血栓,避免反复球囊扩张,同时充分药物抗凝、抗血小板治疗。目标是尽早开通血管、并保证心肌水平的血流灌注,避免及减少再灌注损伤和无再流,避免支架内急性血栓和大出血的发生。
3) 回旋支为非梗死相关血管,但病变严重,应当进行择期的介入治疗。完全血运重建对该患者的远期预后会有帮助。回旋支病变为闭塞病变,在选择引导丝方面应考虑超滑、通过性、支撑性好的导丝。