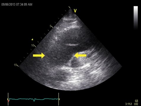
患者男性,81岁,既往无良性前列腺肥大所致耻骨上疼痛及尿潴留的急诊病史。偶然发现肌钙蛋白水平升高:0.17ng/ml(正常值<0.08)。患者称无胸背痛或气促。心电图未显示缺血性改变。胸部X线示纵隔增宽。经胸壁超声心动图示升主动脉水平有一胸主动脉夹层动脉瘤(箭头所示)。

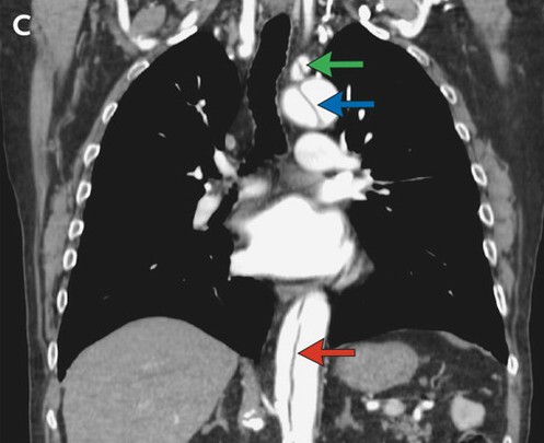
胸腹部CT血管成像示升主动脉瘤(图A,蓝色箭头),DeBakey I型主动脉夹层动脉瘤。该夹层涉及了升主动脉(图B,白色箭头),主动脉弓(图C,蓝色箭头),以及降主动脉(图B、C,红色箭头),结束于肾动脉起点之下。同时还涉及了几条血管分支,包括右头臂动脉、左锁骨下动脉(图C,绿色箭头)和肠系膜上动脉。



由于缺乏相关症状,考虑该夹层动脉瘤是慢性的。患者拒绝了手术干预,不过同意接受β受体阻滞剂治疗。1年后患者病情未发生恶化,并继续接受β受体阻滞剂治疗和常规随访。
医脉通编译自:Aortic Dissection. N Engl J Med 2014; 371:e17September 18, 2014DOI: 10.1056/NEJMicm1313897.[
主动脉夹层动脉瘤.pdf]
病例来源:医脉通
注:本网所有转载内容系出于传递信息之目的,且明确注明来源和/或作者,不希望被转载的媒体或个人可与我们联系,我们将立即进行删除处理,所有内容及观点仅供参考,不构成任何诊疗建议,对所引用信息的准确性和完整性不作任何保证。
扫描二维码,关注微信公众号
扫描二维码,下载APP到手机