先天性心包缺如(CAP)是一种少见的心脏病,尽管该病不易被诊断,但我们仍然可以找到一些指征的。这里介绍了1例有症状的部分性心包缺损病例, MRI检查在行外科矫正前为该病的鉴别诊断提供了全面的信息。
1、 病例报告
患者,男,63岁,有吸烟史,患有高脂血症,最近出现典型劳力型心绞痛(伴有超声心电图应激试验阳性结果显示心尖缺血)后被转诊(到本院)进行冠状动脉造影。冠状动脉造影显示一种奇怪的左前降支(LAD)中部变形(伴有一个左心室尖部动脉瘤)(图1)。因此,我们决定实施一次MRI检查。

图1. 冠状动脉造影显示LAD动脉中部远端一处极度致密的狭窄(箭),
伴有该动脉不常见的变形。
2、相关检查
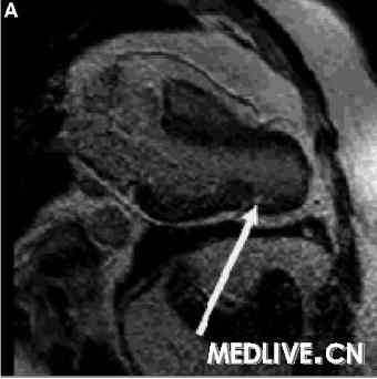
我们用一个带6个元件相控阵列线圈的1.5T的MRI扫描器。通过使用一种稳态梯度回波技术获取标准视图的电影回放,实施标准的心室功能检查。在心脏轴位和短轴平面用屏住呼吸的T1加权快速自旋回波MRI检查心脏和心包形态,并且在静脉给予钆对比剂后10分钟获取对比增强图像。MRI显示心尖处的心包缺如以及双心室尖部疝(图2和3),这些发现引导我们(将该患者)诊断为部分性CAP,LAD中部远端狭窄通过心包环来解释。用MRI完全确定CAP,用心室尖部疝解释LAD受压,以及已被证明的缺血导致了外科干预(图4A和4B)。在左乳内动脉成功地实施了心包成形术联合LAD旁路。术后即时MRI显示与心包成形术相关的心尖部运动明显改善。对照冠状动脉造影显示左乳内动脉通透性良好,LAD变形部分消失(图5)。该患者经过1年随访后目前没有(发生不良)事件。
![]() |
![]() |
![]() |
图2. 心脏轴位T1 MRI显示左心包的部分性缺损 |
图3A. 晚期增强显示心包环上的心肌内纤维化 |
图3B. MRI显示双心室尖部疝 |

图4. A和B,外科视图显示心室疝和环状纤维化。
图5. 对照冠状动脉造影显示左乳内动脉通透性良好,
LAD变形部分消失。LIMA表示左乳内动脉。
3、讨论
CAP是一种罕见的疾病,其范围从小缺损到完全缺如。1559年,Matthaeus Realdus Columbus首次描述了该疾病。Baille于1793年第一次完全报告了患有该病患者的情况,Ladd在1936年首次报告了活受试者患该病的情况。CAP是由左心总静脉(Cuvier静脉)过早萎缩导致的,伴有供血不足,这导致了心包的缺如。这一理论解释了大部分位于左侧的心包缺损(最常见的是左侧心包的完全缺如)。完全缺如和左侧/右侧部分缺如极其罕见。
CAP可为孤立的,但也有可能是一种有自身症状(动脉导管未闭、房间隔缺损、二尖瓣狭窄、二叶式主动脉瓣以及法洛四联症)的更严重或更复杂的心脏畸形的一部分;也有可能与心外异常(例如支气管囊肿,肺隔离症,以及膈疝)相关,或见于其他综合征,例如VATER(椎骨,肛门,气管,食管和肾脏)综合征,Marfan综合征以及Pallister-Killian综合征。
带T1加权形态学序列的门控心脏MRI有良好的软组织对比度分辨率,可描绘正常心包的细微低信号强度。大多数心包缺损及其程度可被MRI检出,除了心包脂肪减少的患者(他们可发生误诊)外科干预由纤维环解离和心包成形术组成,是部分性CAP所必须的,以预防任何疝出的心脏结构(左心房,左心耳,左心室)通过缺损以及冠状动脉受压。此外,CAP相关症状(如本病例)需要外科矫正。然而,极小的缺损和无致命可能性的完全性CAP无需干预。在我们报告的这个病例中,外科医师决定进行相关的LAD旁路主要是因为即使打开心包后,LAD的变形仍持续存在。
注:该病例资料来自[Circulation. Cardiovascular imaging.2010-09;3(5):632-4.]
病例来源:医脉通
注:本网所有转载内容系出于传递信息之目的,且明确注明来源和/或作者,不希望被转载的媒体或个人可与我们联系,我们将立即进行删除处理,所有内容及观点仅供参考,不构成任何诊疗建议,对所引用信息的准确性和完整性不作任何保证。
扫描二维码,关注微信公众号
扫描二维码,下载APP到手机