首页>病例>详情

病例库

右冠三叉病变1例

收藏 分享
       一、基本信息

       患者,男,62岁

       主诉:阵发性心前区疼痛,胸闷13天

       现病史:13天前感冒后出现阵发性心前区疼痛,呈胀痛,持续约10分钟,伴胸闷气短,及左肩麻木沉重感,于当地医院诊断为“冠心病,心绞痛”,予通心络,拜新同,巴米尔,辛伐他汀,欣康等,略好转,后常于活动后加重,今为求明确诊断来我院。

       既往史:高血压史48年,最高达200/120mmHg,饮酒史15年,否认糖尿病史,吸烟史。及家族遗传病史
       
      
临床诊断:冠心病,不稳定型心绞痛,心律失常,偶发房早,室早,高血压病3级,极高危组
       
      二、 辅助检查
       
      
1.胸片示:左肺陈旧结核,主动脉硬化。
       
      
2.HOLTER:窦性心律,偶发房早,偶发交界性早搏。
       
      
3.心脏彩超:左室壁增厚,符合高心病表现,左室舒张功能减低。
       
      
4.心电图:基本正常 5.化验:基本正常。
       
       三、诊断与治疗

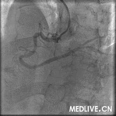
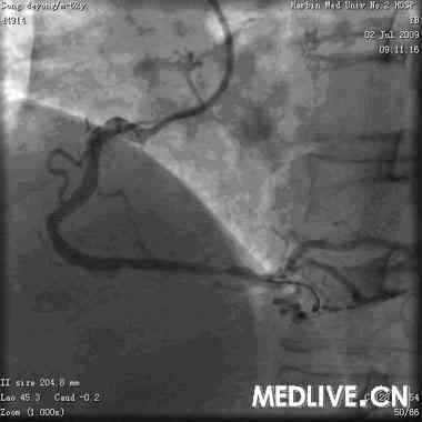
       1.造影结果:右冠三叉前严重狭窄(图1)
       
       2.
OCT检查示:右冠不稳定脂质斑块伴严重狭窄。(图2:不稳定脂质斑块;图3:严重狭窄)

       3.PCI处置: 植入支架(3.5*24)一枚
       
       4
.PCI术后:(图4:支架后)
       
       5
.复查OCT示:支架贴壁良好(图5)

 
图1 造影结果
图2 不稳定脂质斑块
       
      

图3 OCT检查示严重狭窄
图4 PCI处置
图5 术后恢复良好

病例来源:医脉通

*

注:本网所有转载内容系出于传递信息之目的,且明确注明来源和/或作者,不希望被转载的媒体或个人可与我们联系,我们将立即进行删除处理,所有内容及观点仅供参考,不构成任何诊疗建议,对所引用信息的准确性和完整性不作任何保证。

*我要反馈: 姓    名: 电    话: 邮    箱:

沪公网安备 31010602000036号