病历摘要
患者男性,19岁。主因呼吸困难3天入院。患者16岁时在诊所检查血压为180/95 mmHg,被诊断为高血压,之后患者间断服用降血压药。自述有高血脂、椎间盘突出病史及气短症状。此次住院前2年间,患者偶有上呼吸道感染合并气喘现象。住院前1周,患者出现咳嗽、咳痰、流涕及运动时呼吸困难等症状。住院前3天,开始出现脚踝水肿。
入院查体
患者身高173 cm,体重131 kg,体温36.7度,心率82次/分钟,呼吸24次/分钟,血压180/70 mmHg。
三尖瓣区域可闻及2/6级收缩期杂音及第三心音,两侧肺下部可闻音,腹部触诊发现脐周震颤。
诊治经过
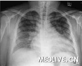
患者入院后胸部X线检查(图1)显示心脏肥大,心脏胸廓比为0.62,肺纹理增粗明显。心电图检查提示,有不完全性右束支传导阻滞,右心房与左心房肥大。
图1
胸部X光显示,心脏肥大及两侧肺血管充血
实验室检查显示, 血尿素氮水平24 mg/dl,肌酐水平1.1 mg/dl, 血钾水平3.3 mmol/L。
因患者有明显的充血性心力衰竭症状,故给予利尿剂、血管紧张素转换酶抑制剂(ACEI)卡托普利25 mg,每天3次。 随访时发现,患者肌酐水平上升至2.3 mg/dl,但肾素与醛固酮水平检查结果无异常。患者自述有“气喘”病史,但肺功能检查无异常,住院期间接受利尿剂呋塞米治疗后,呼吸困难症状明显改善。
因患者血压升高且查体时医师发现其腹部震颤,应首先考虑继发性高血压的可能性。于是,医师首选创伤性较小的巯甲丙脯酸肾功能显像检查。结果显示,患者两侧肾脏均有血流减少现象,但无法判断肾血管是否狭窄。
腹部CT扫描(图2)显示,其腹主动脉边缘不清,腹主动脉周围有富含血管的肿瘤、肝脏瘀血、脾肿大、右肾旋转异常。心脏超声检查发现,心脏4个腔室均扩张,心肌向心性肥厚,合并中度肺动脉高压。

图2 腹部CT扫描显示,腹主动脉的边缘不清,周围有富含血管的肿瘤。下腔静脉扩张、肝脏瘀血、 脾肿大、 右肾旋转异常
对患者进一步行腹主动脉血管造影(图3)检查,未发现肾血管狭窄现象,但检查中,显影剂注射入腹主动脉后,快速流向脊髓动脉而非肾动脉,并回到下腔静脉,显示患者动静脉畸形(AVM),将血液由脊髓动脉分流至下腔静脉,而此动静脉畸形范围包含整个下腹部。
图3
腹主动脉血管造影,在显影剂注入腹主动脉后,快速地流入脊髓动脉,接着流入下腔静脉, 肾动脉无明显狭窄
该患者最后被确诊为腹主动脉动静脉畸形导致心衰而使肾血流减少。
血管外科及心脏内科医师会诊后,决定为患者进行阶段式血管栓塞治疗。但在经股动脉进行血管造影时,患者出现下腹部及大腿麻木感,若进行血管栓塞恐伤及神经,有致下半身瘫痪的危险,于是改为内科治疗,控制心力衰竭症状。
分析讨论
1. 高血压原因分析
对年轻高血压患者,应先排除继发性高血压的可能性,如肾血管性高血压。外科或内科血管扩张术治疗后,血压可恢复正常,不需长期服用降血压药物。
肾血管性高血压的诊断线索包括:①低血钾;②服用ACEI制剂后出现肾功能异常;③典型的肾血管性高血压,实验室检查可能提示肾素水平下降、醛固酮水平上升,醛固酮与肾素水平的比值大于30(有90%以上的确诊率);④在肾脏B超检查时,可能会发现两侧肾脏大小差异超过1.5 cm或肾动脉血流速度增快;⑤如果有螺旋CT扫描或速度较快的磁共振成像(MRI)检查,也可以用来诊断肾动脉的病变。
因该患者身体脂肪太厚,肾脏超声的影像不清晰。肾功能显像检查显示两侧肾脏的血流灌注无明显差异,无法诊断肾血管性高血压,需行进一步影像学检查。因此,医师安排CT扫描,同时检查肾上腺,以排除其他内分泌疾病引发的继发性高血压的可能性。由于CT发现该患者的腹主动脉周围有富含血管的肿瘤, 遂行血管造影确定血管瘤来源。
2. 肾血流不足原因分析
因为血管造影检查时发现,大部分造影剂都是快速流过肾动脉分支,仅少部分进入肾动脉,可能是因为腹主动脉的动静脉畸形的血压较低,形成盗血征,更使肾血流不足的情况加剧。
3. 心力衰竭原因分析
心脏超声检查发现的心房和心室扩大、心肌肥厚以及CT检查发现的肝脏瘀血、脾肿大,都是充血性心力衰竭的典型表现。该患者腹主动脉的动静脉畸形导致大量血液分流回到下腔静脉,心脏为应付组织足够的血液灌流,长期处在高输出状态。因此,该患者早期的气喘症状很可能是心力衰竭的早期表现。只是因为患者年轻,心脏仍有足够的代偿能力,当上呼吸道感染过后,身体的代谢率下降,心力衰竭的症状就会消失。
令人惋惜的是,对该患者腹主动脉的动静脉畸形,医师本拟以血管栓塞术或外科手术治疗,但因为手术中发现,患者腹主动脉动静脉畸形可能包含支配神经的血管,不论外科手术,还是栓塞治疗,均可能导致下半身麻痹,只能以药物控制心力衰竭症状。
专家提示
如果能在当年发现患者高血压时,就进行细致的检查,早期发现腹主动脉的动静脉畸形,也许有机会在动静脉畸形较小时进行治疗,以免日后产生充血性心力衰竭。该病例提醒临床医师,在诊治年轻人的高血压时,需特别注意。
(作者:中国台湾医药大学附属医院肾内科 周哲毅 刘炯勋 刘耀隆 周铭源 郭慧亮 黄秋锦)