作者:上海交通大学医学院附属第三人民医院病理科 刘立伟,韩洪秀,杜光烨,陆玲娟,董君波
病例内容:
患者,男,77岁,全身乏力、出冷汗、头晕2天于2011年4月8日入院。B超显示胆囊体积增大,胆管扩张。诊断为胆道感染,给予抗炎治疗,病情好转。为排除泌尿系统感染,行双肾及输尿管CT扫描,结果显示:左肾中极前部见一大小约2.7cm×2.5cm异常肿块影,边界尚清,平扫时呈等低混杂密度,平均CT值约21HU,增强后动脉期呈明显不均匀强化,CT值约51HU,门脉期呈结节状更显著强化,CT值约73HU。影像学诊断:左肾中极前部占位,首先考虑肿瘤性病变(图1)。体格检查:肾区未触及肿块,无叩痛。于2011年4月1l号行左肾肿瘤剜除术。

图1 CT示左肾中极前部见一边界清楚的等低混杂密度的肿块影
手术切除的肿瘤标本经10%福尔马林液固定,常规脱水、石蜡包埋、切片、HE染色。Dako Envision二步法免疫组化,一抗SMA、desmin、Vimentin、NSE、Bcl-2、CDll7、S-100与CD34均购自美国长岛公司。肿瘤细胞阳性标准:SMA、desmin、Vimentin、NSE、Bcl-2、CDll7、S-100与CD34均以细胞浆弥漫棕黄色为阳性,以PBS代替一抗作空白对照。
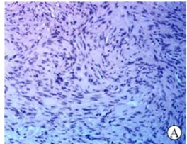
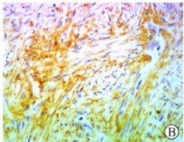
病理巨检:结节一个,大小为3cm×2.5cm×2.5cm,无包膜,肿瘤境界清楚,切面灰白色,均质实性,质地柔韧,无出血及坏死。镜下观察:肿瘤由分化好的梭形细胞组成,边界清楚,胞质丰富,深粉红色;核呈杆状,两端钝圆,染色质细腻,无异型,无核分裂象,无坏死,瘤细胞聚集成束,呈编织状排列(图2A)。免疫组化:desmin+(图2B、2C),SMA+,Vimen.tin+,NSE-,Bcl-2-,CDll7-,S-100-,CD34-。

图2A 肿瘤由分化好的梭形细胞组成,边界清楚,胞质丰富,深粉红色;核呈杆状,两端钝圆,染色质细腻,无异型,无核分裂象,无坏死,瘤细胞聚集成柬,呈编织状排列(HE×100)

图2B 瘤细胞desmin胞浆阳性(SP×200)

图2C 瘤细胞desmin胞浆阳性(SP×400)
病理诊断:左肾平滑肌瘤。
讨论
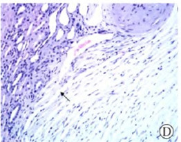
平滑肌肿瘤并不少见,多发生于子宫、胃肠道、脉管等平滑肌丰富的脏器,但原发于肾脏的十分罕见。据尸检结果研究发现平滑肌瘤的发病率是4%~5.5%,其中2/3为女性。白种人的发病率比其他种族的人高。临床上肾脏平滑肌瘤常分为两大类:①大多数是尸检中发现的,或行直径小于2cm的多发的肾皮质肿瘤手术时偶然发现的;②少数是肿瘤大到影像学检查可以发现,或肿瘤大至产生肾区疼痛、叩痛,有肉眼血尿等临床症状时发现。据推测肾脏平滑肌肿瘤最常起源于肾包膜,其次是肾盂,起源于肾脏血管的平滑肌瘤最为罕见。回顾肾脏的组织学特征:肾皮质浅层内呈放射状排列的动、静脉,小动、静脉以及肾小球的人球小动脉和出球小动脉内均含有平滑肌成分。平滑肌细胞也见于肾盂、肾盏及肾脏包膜内层。这为肾脏平滑肌瘤的发生提供了组织学基础。本例肾脏平滑肌瘤位于肾皮质内,其肿瘤细胞成分与肾皮质内的小静脉血管壁的平滑肌细胞之间存在逐步移行过渡融合的区域(图2D箭头所示),故推测本例。肾脏平滑肌瘤是来源于肾脏小静脉血管壁的平滑肌细胞。本例是迄今为止文献报道的第3例起源于肾脏静脉血管壁的良性肾脏平滑肌肿瘤。Yanaihara H等对肾脏平滑肌瘤的患者进行了DNA流式细胞学分析发现其为二倍体分型。比较基因组杂交显示该肿瘤患者存在染色体4、6、12及14的缺失。平滑肌瘤影像学检查多表现为软组织密度实性肿瘤,中等密度,病变与周围组织界限清楚,没有肾外浸润或转移表现,多数位于肾包膜、肾包膜下或肾盂。

图2D 小静脉血管壁与肿瘤之间存在过渡移行区域,如箭头所示(HE×lOO)。
典型平滑肌瘤诊断并不困难,通常为境界清楚的实性结节,切面灰白色。显微镜下由较一致的梭形细胞呈编织状或漩涡状排列,部分肿瘤细胞还可排列成栅栏状,细胞核两端,钝圆。可伴囊性变或者钙化。电镜显示细胞浆内见肌膜小凹和肌丝。它主要应与以下几种肿瘤相鉴别:①平滑肌肉瘤:平滑肌肉瘤细胞不典型及病理性核分裂显著,常有出血、坏死。可发生侵袭和转移。患者生存率很低。②间质瘤:间质瘤常发生于胃肠道。免疫组织化学:CDll7+,CD34+。③孤立性纤维性肿瘤:可见典型的血管外皮瘤样的生长方式。免疫组织化学:CD34+,Bcl-2+,CD99+。④神经纤维瘤:神经纤维瘤细胞呈纤细波浪状,核两端较尖。免疫组织化学:S-100+。⑤肾细胞癌:肾癌声像特征多表现为低回声或弱强回声。而肾平滑肌瘤多表现为等回声。尽管如此,缺少血供的肾癌与肾平滑肌瘤的影像学鉴别还是存在一定困难。但所幸,二者病理学图像差别迥异。⑥肾脏血管平滑肌脂肪瘤(又称肾脏错构瘤):术前超声及影像学检查常见到多少不等的低回声脂肪成分,作为与肾脏平滑肌瘤的鉴别点。病理学上肾脏血管平滑肌脂肪瘤由成熟脂肪组织、缺乏弹力的厚壁血管及不规则的平滑肌束三种成分构成;而肾平滑肌瘤只由单一的良性梭形平滑肌成分构成。
肾脏平滑肌瘤在术前超声、影像学诊断与少血供的肾透明细胞癌鉴别困难,常行全肾切除术。Johns Hopkins医院曾在影像介导下行粗针穿刺和免疫组织化学分析在术前明确了诊断,从而避免了肾脏根治手术。因此术前穿刺送常规病理或者选择术中切取部分或全部肿瘤送冰冻病理以明确良、恶性或许能为更恰当的决定手术范围提供可靠的依据。但体积很大且术前及术中无法确定其良、恶性的平滑肌瘤而另一侧肾脏健全的患者还是建议行全肾切除术,以防继发感染、坏死,甚至恶变。有文献报道对术前诊断明确的肾脏平滑肌瘤行腹腔镜下肿瘤切除术也收到了不错的效果。该肿瘤术后预后良好,但对于这类患者是否可以不手术而随访尚有待研究。本例患者行肾脏平滑肌瘤单纯剜除,术后随访1年,患者身体状况良好。
病例来源:现代肿瘤医学
注:本网所有转载内容系出于传递信息之目的,且明确注明来源和/或作者,不希望被转载的媒体或个人可与我们联系,我们将立即进行删除处理,所有内容及观点仅供参考,不构成任何诊疗建议,对所引用信息的准确性和完整性不作任何保证。
扫描二维码,关注微信公众号
扫描二维码,下载APP到手机