2020年1月13日,一名47岁女性和母亲旅行至武汉 ,不久后被确诊为2019-nCoV感染。2020年1月20日出现间歇性发热(最高温度37.9℃),伴有咳嗽。两天后,她住进了深圳第三人民医院。一开始她的血液检查显示白细胞计数正常(4.94×109/L),淋巴细胞计数下降(1.06×109/L),血氧饱和度为99%。入院后,患者每日两次雾化吸入干扰素。但是,1月22日和1月28日从喉部拭子取样进行2019-nCoV核酸检测,都没有显示阳性结果。
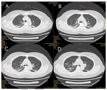
患者于2020年1月29日转至深圳大学总医院进行进一步隔离和临床观察。入院时(发病第9天)头痛、咳嗽加重,但体温(36-37.2℃)、氧饱和度(99%)相对正常。血液检查显示白细胞计数正常(5.81×109/L),淋巴细胞计数下降(0.91×109/L)。胸部CT显示双侧磨砂玻璃样阴影[见CT结果图]。

治疗除雾化吸入干扰素外,给予奥司他韦(75mg)每日口服两次。1月31日(发病第11天),患者血气分析显示病情明显恶化(PO2 65.5 mmHg, PCO2 39.2 mmHg, SO2 93.6%)。通过鼻拭子取样再次进行n-CoV核酸检测,核酸检测结果显示2019-nCoV阳性,同时经CDC验证。
根据中国卫计委发布的新《新型冠状病毒肺炎诊疗方案(第6版)》,为了排除2019-nCoV感染肺炎,需要连续2次(至少间隔1天)呼吸道2019-nCoV核酸检测阴性。但是,仍有一些病例由于其高度可疑的流行病学史、典型的临床、实验室和放射学特征而不能被排除,本例患者就是有确切的流行病学病史、肺部影像学改变及典型临床症状。本病例发病后8天内没检测到病毒核酸序列,直到发病后第11天才检测到,说明2019-nCoV核酸检测与临床症状之间存在非平行关系。
2019-nCoV核酸检测取样常用鼻咽拭子,有研究表明,不同亚型的流感病毒对不同定植位点的亲和力不同,从而导致不同采样点的阳性检出率不同。到目前为止,2019-nCoV的确切生物学特征仍未确定,包括亚型和定植位点的多样性。因此,本病例从喉部到鼻腔的取样部位的改变可有助于阳性检测。截至发稿时,已有4名咽拭子核酸检测阴性的患者,鼻腔拭子检测结果呈现阳性。近期报道显示,消化系统是2019-nCoV感染的又一途径,也提示2019-nCoV的定植位点存在个体差异。
因此,通过本病例总结如下:
1) 对于高度可疑人群,多位点多次采样将有利于2019-nCoV的早期检测。
2) 还应考虑采样前不久患者的状态,因为抗病毒雾化治疗会影响阳性检出率。
3) 为更好地预防和控制2019- nCoV的传播,应在早期提高病毒检测的效率。
参考文献:
Ruan ZR,et al. Chin Med J (Engl).2020 Mar 5.doi: 10.1097/CM9.0000000000000788. Online ahead of print
病例来源:医学慕课
注:本网所有转载内容系出于传递信息之目的,且明确注明来源和/或作者,不希望被转载的媒体或个人可与我们联系,我们将立即进行删除处理,所有内容及观点仅供参考,不构成任何诊疗建议,对所引用信息的准确性和完整性不作任何保证。
扫描二维码,关注微信公众号
扫描二维码,下载APP到手机