首页>病例>详情

病例库

胸膜腹膜分流术治疗肺癌患者乳糜胸和乳糜心包一例

收藏 分享
   病例报告

  患者,男,年龄70岁,既往每年吸烟80包,有慢性肝炎、糖尿病和高血压病史。因近期发现胸部异常阴影而被转诊至本院以便接受进一步评估。此前已借助支气管镜诊断出右上肺叶鳞状细胞癌。根据锁骨上三角淋巴结转移和肝转移情况,临床分期为T1N3M1 Ⅳ期。

  经过2个周期的卡铂+吉西他滨化疗,原发肿瘤和转移淋巴结仍快速进展,并发生乳糜胸和乳糜心包(见图1)。每日从2个腔中引流出1,500~3,000 ml的乳糜液。鉴于心包引流液中的甘油三酯水平始终高于胸膜腔引流液,初步诊断为原发乳糜心包继发乳糜胸。反复对乳糜液行细胞学检查,结果均未发现癌细胞。虽然经静脉输入营养液和反复行胸膜固定术,但乳糜心包和乳糜胸均得不到控制。我们尝试切开左侧胸廓而直接结扎胸导管,但术中未能找到渗漏部位,只好对胸导管周围行大范围结扎。术后,乳糜液引流量逐渐降至每日1,500~2,000 ml,但在2周内逐渐恢复至术前水平。虽然患者的总体情况相对较好,但其生活质量因长期持续胸导管引流而明显下降。


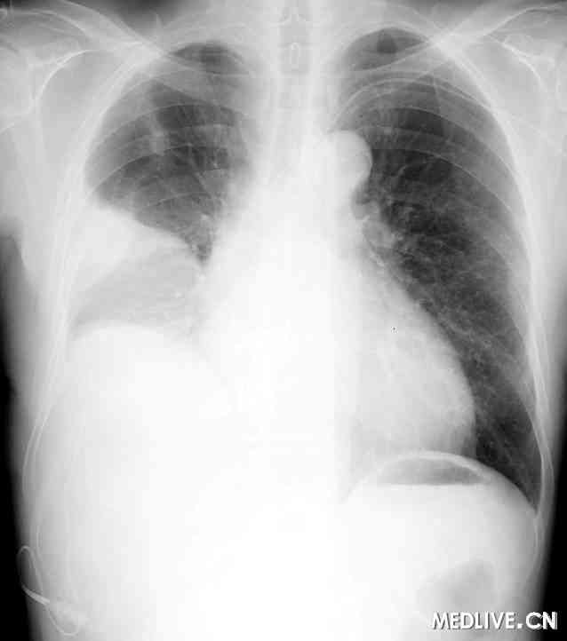
胸片显示右侧胸腔和心包腔大量渗出

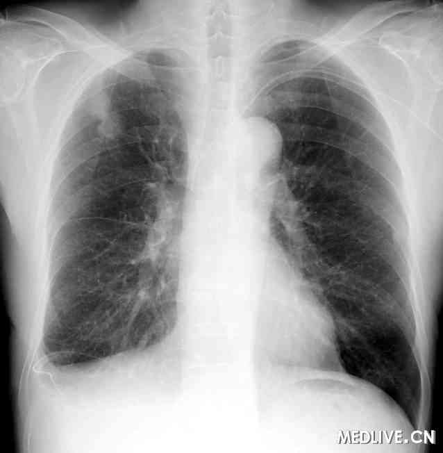
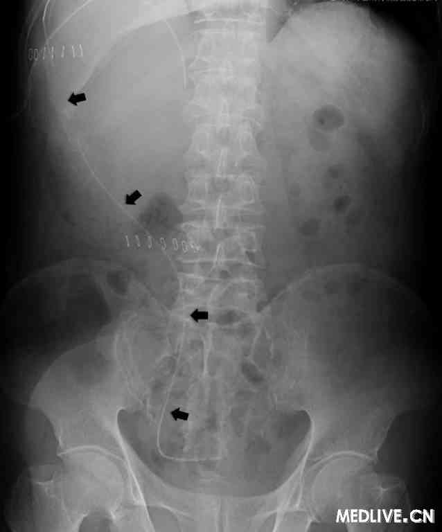
  在此情况下,我们决定在建立心包窗后2个月时采用丹佛分流管行胸膜腹膜分流(见图2)。从第5肋间向右侧胸膜腔插入1根有孔的细胸膜导管(16 Fr),并通过1个皮下通道将其连接到主泵上,后者有2个单向阀并被固定在右侧肋部边缘皮下。穿过右上腹直肌向腹腔插入1根腹膜导管(见图3)。结果,该患者的乳糜胸明显好转,相应症状消失(见图4)。患者在17个月后死亡,在死亡前不再需要对乳糜胸采取进一步治疗,胸膜腹膜分流也未出现任何问题。


图2  丹佛胸膜腹膜分流管


图3  丹佛胸膜腹膜分流管(箭头)被置入腹腔


图4  置入分流器后2个月时的胸片,可见乳糜胸和乳糜心包得到明显改善
 
  讨论

  乳糜胸加乳糜心包是心脏手术后的一种罕见并发症,发生率约为0.25%。我们报告1例患者,因肺癌转移至纵隔淋巴结引起胸导管不畅,导致同时发生乳糜胸和乳糜心包。乳糜胸的保守治疗,如胸导管引流、反复行胸膜固定术、空腹静脉输营养液等效果不佳。由于乳糜心包的进展导致心包填塞,我们尝试开胸结扎胸导管,但未能奏效,乳糜胸又持续了2个月。最后,我们在建立连接心包腔与胸膜腔的心包窗的同时实施胸膜腹膜分流术,有效控制住了乳糜胸。

  Azizkhan等人首次报告采用胸膜腹膜分流术治疗了5例呼吸机依赖性新生儿的乳糜胸。其中4例患儿的乳糜胸和肺功能不全被治愈。Murphy等人也报告了采用胸膜腹膜分流术治疗难以控制的16例儿童乳糜胸,认为该治疗在安全性和微创性方面优于手术。这种分流装置也被用于治疗有乳糜尿病史的丝虫病患者的继发性乳糜胸。但用于治疗继发于乳糜心包的乳糜胸,此前并未见文献报道。

  心包腔乳糜液积聚的确切病因尚不清楚。Campbell等人推测心脏手术后乳糜心包的发生机制可能与全身静脉压升高有关。由于心包腔被淋巴管网络所包绕,静脉回压的增高很容易压倒淋巴管瓣,从而导致乳糜液积聚。我们认为本例患者也存在这一机制,且与晚期肺癌转移至纵隔淋巴结(N3)有关。我们结扎胸导管的尝试失败,很大程度上是因为该部位有大量增殖的淋巴管。保守治疗也无法控制不断增多的乳糜液。

  我们使用的分流装置由1根有孔的胸膜导管、1个有弹性的泵和1个有孔的腹膜导管组成。1个带有双向伐的手泵通过这一分流装置将滞留的乳糜液引流出来,而不会受到腹腔与胸腔之间压力差的阻碍。

  但这一干预措施也可能遇到困难:当有胸膜液小腔形成时,引流效果会大打折扣。这类患者往往已接受了多次胸部穿刺和硬化治疗,所形成的隔膜纤维结构会给引流带来困难。另外,由于硅胶导管相对柔软,向腹腔或胸腔插入导管尖端也可能遇到困难。既往曾接受腹部手术的患者,可能不适宜采用胸膜腹膜分流术治疗。确认分流装置是否开放也是非常重要的一点,术后24 h内需定期按压手泵,以尽可能降低早期分流装置阻塞的风险。

  胸膜腹膜分流术通常被用于难以控制的大量恶性胸膜积液,对肺癌患者使用这一治疗手段的主要顾虑是可能导致癌细胞医源性播散至腹腔,因为没有滤器可阻止癌细胞进入手泵。鉴于这一风险,我们反复行细胞学检查以确定乳糜液中无癌细胞。基于这例患者的经验,我们认为,当手术或胸腔引流对顽固性乳糜胸无效时,胸膜腹膜分流术可改善肺癌患者的生活质量。

病例来源:爱唯医学网

*

注:本网所有转载内容系出于传递信息之目的,且明确注明来源和/或作者,不希望被转载的媒体或个人可与我们联系,我们将立即进行删除处理,所有内容及观点仅供参考,不构成任何诊疗建议,对所引用信息的准确性和完整性不作任何保证。

*我要反馈: 姓    名: 电    话: 邮    箱:

沪公网安备 31010602000036号