首页>学术课件>详情

详 情

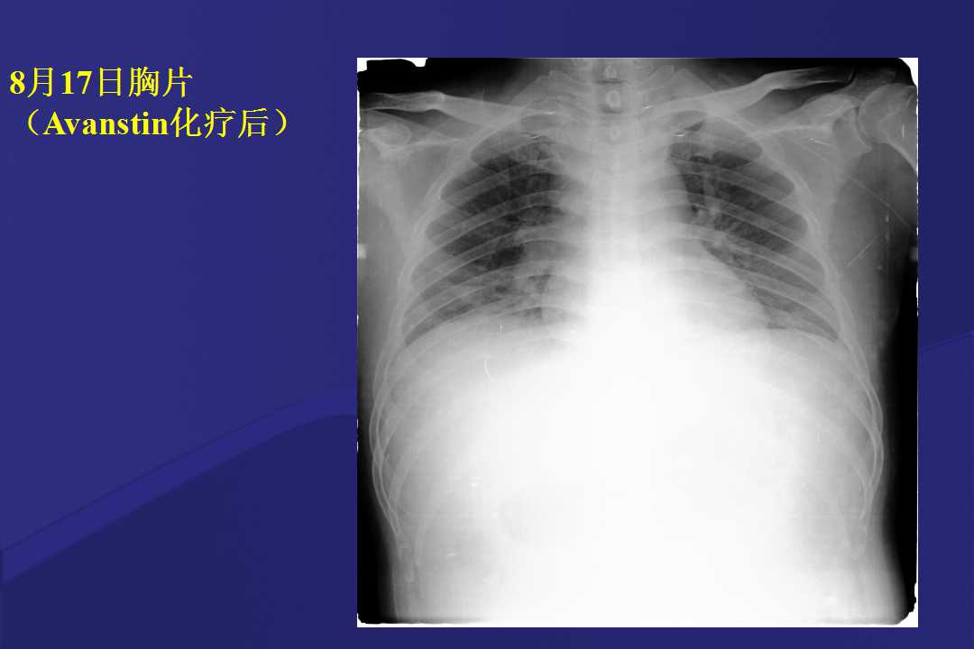
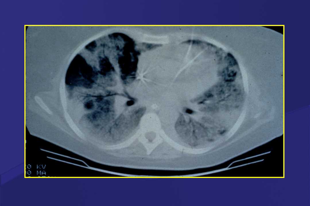
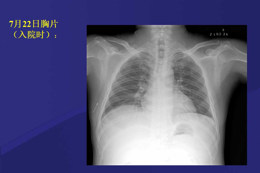
血液疾病患者肺部并发症影像学表现

来源:医学慕课 日期:2018-08-16
收藏 分享
*

版权声明:本网站所有注明“来源:医学慕课”的文字、图片和音视频资料,版权均属于医学慕课所有,非经授权,任何媒体、网站或个人不得转载,授权转载时须注明“来源:医学慕课”。本网所有转载文章系出于传递更多信息之目的,且明确注明来源和作者,不希望被转载的媒体或个人可与我们联系,我们将立即进行删除处理。

*我要反馈: 姓    名: 电    话: 邮    箱:

沪公网安备 31010602000036号